Home » News & Articles » Quality of Microstructure of Duplex Stainless Steels
Duplex stainless steels typically have 50% of both austenite and ferrite in their microstructure. It is necessary to have good control of the composition and the heat treatment to obtain satisfactory properties in both phases.
Poor control of these can lead to the precipitation of third phases, such as sigma, chi, nitrides, and alpha prime. These can seriously reduce both toughness and corrosion resistance[1,2]. Industry-wide recommendations have been published advising how to best manage this issue [3]. Similarly, poor control during welding of duplex stainless steels can result in the precipitation of third phases and poor properties of the welded joint [4]. Detection of these phases is critical to allow corrective action to be taken and provide products with the expected level of corrosion resistance and toughness.
Two internationally recognized standards cover the evaluation of microstructural quality in 22% and 25% Cr duplex stainless steels. These are ASTM A923 [5] and ISO 17781 [6].
ASTM A923 was written as a method to detect sigma phase in standard duplex and super duplex stainless steel wrought products [7], and follow-up work showed it was also applicable to castings [8].
ASTM A923 consists of three test methods. Test Method A involves the metallurgical evaluation of an etched microsection. Test Method B is a Charpy impact toughness testing test at -40°C. Test Method C is a corrosion test in ferric chloride solution.
In Method A, the sample is etched in NaOH. Workers in Norway [9] have shown that this etch is not necessarily the best etchant to detect all microstructural problems as it does not readily detect nitrides [10]. In our opinion, some of the comparative micrographs in ASTM A923 are misleading. Some described as “possibly affected” are “affected.” Further, using Method A alone as a “rapid screening test” is seriously flawed. This is because of how intermetallic particles (IMP) form during conventional heat treatment. Indeed, toughness begins to fall before the intermetallic particles are discernible using optical metallography, and failures in heat treatment processes can cause localized precipitation of IMP’s rather than widespread formation. It is also the case that metallographic examination can be subjective, especially for welds, and it is influenced by sample preparation, etchant used, and metallographer interpretation. For these reasons, we believe that taking the results of microstructure checks, impact tests, and corrosion tests as a collective is the best way forward.
Test Method B is a Charpy impact toughness test at -40°C.
The standard is clear that the toughness acceptance criterion for each grade is only used to detect the presence of unacceptable third phases rather than the minimum toughness to suit the actual application. We find that the Charpy impact toughness test had a rather low pass/fail criterion10, which would not necessarily reject material with low levels of intermetallic particles in the microstructure. Indeed, when the standard was developed, Davidson7 showed that 2205 plates meeting the 54J at -40°C acceptance level had already suffered a considerable loss in toughness and some loss in corrosion resistance. The 54J acceptance criteria was applied because it was “regularly used for a wide range of process applications other than cryogenic applications” and not because it was found to be related to some significant presence of IMP in the microstructure. Our own work for super duplex stainless steels [10] showed that an acceptance level of 70J at -46°C was more discerning with respect to the presence of IMP’s. The problem is that low acceptance levels such as in ASTM A923 Method B, can allow materials that are predisposed to precipitation of IMP to be fabricated by welding. In such cases, they could suffer further and rapid IMP precipitation in the low-temperature HAZ [11] and then be deployed in service. In such cases, if pre-qualified rather than new welding procedure qualifications (performed on the predisposed material) are used, it is unlikely that the problem will be discovered until it is too late.
The corrosion test (based on ASTM G48) at 40°C was judged by some to be at too low a temperature for wrought and cast super duplex stainless steels in the solution treated and water quenched condition. The Norwegian oil industry uses a 50°C test temperature [12]. This was rectified to some extent by the inclusion of Supplementary Requirement S1 into ASTM A923. This gave the option of corrosion testing at 50°C. Again, our own work on super duplex stainless steels in the solution treated and water quenched condition shows a test temperature of 50°C to be much more discerning in terms of detection of intermetallic particles than testing at 40°C10. However, other contributors to the ASTM A923 standard argued that the 50°C test temperature should be a supplementary requirement to cover the “arduous” applications rather than the “commodity” application that would be covered by the 40°C test temperature. However, it is our experience that these grades are always deployed in arduous applications, so we find the concept of a “commodity” application difficult to rationalize.
In addition, ASTM A923 does not address welds well, particularly how to prepare samples, what test conditions to use, and suitable pass/fail criteria. ASTM A923 does not specify test temperature or weight loss acceptance criteria for super duplex welds. So, users tend to apply wrought product test temperature and acceptance criteria when testing super duplex stainless steel welds. This has caused users some difficulty, such that they call into question the validity of using this standard for weld procedure qualification purposes [13].
ASTM A923 requires the machining of a sample and polishing of all faces. NORSOK12 and TWI14 only require a cross-section of the weld with polishing of all cut faces. This means that the as-manufactured and as-welded surfaces, including the weld root run, are tested. These areas are what a user wants to know about. The NORSOK requirement for a brief pickle before testing is supposed to remove test-to-test variability because it gives a distinct transition between the passive state and active pitting15, but this might also remove some surface defects like poor pickling or areas of nitrogen loss in the root of welds where corrosion could initiate. For this reason, the authors prefer to test the mill finished and as welded and cleaned condition (without pickling of the sample, unless pickling is going to be applied post-welding).
Other company specifications covering ferric chloride corrosion testing have different weight loss acceptance criteria, too. ASTM 923 allows no more than 10 mg / decimeter2 / day (10 mdd), which equates to 1.0 g/m2 in a 24-hour test, while the NORSOK and the TWI/IIW methods have a maximum weight loss of 4.0 g/m2. The lower weight loss in ASTM A923 is justified because it is discernable, measurable, and not reliant on the subjectivity of visual determination of pitting7, but not in terms of the presence of IMP’s. When using ASTM A923, all the as-manufactured faces have been removed by grinding, and only the bulk metal is being tested. Whereas, when as-manufactured or as-welded surfaces are tested, higher weight loss limits are appropriate due to the removal of heat tints14. It has been found that for weight losses exceeding 4.0 g/m2, the rate of weight loss increases rapidly, indicating stable pitting14. As such, a weight loss of 4.0 g/m2 and lower is considered acceptable. Further, in the case of testing welds, the TWI method was developed based on round-robin testing of welds in several different laboratories. As far as the authors know, no such testing has been done to justify the use of ASTM A923 Method C test for welds. For this reason, the authors prefer the TWI method and its 4.0 g/m2 weight loss limit. This practice has also been accepted by IIW [14].
ASTM A923 and its acceptance levels are based more on what a manufacturer wants to supply rather than what an end user may need. When criticized because the test methods failed to detect problems associated with nitrides, ineffective pickling of parts, or nitrogen loss from the root runs of welds say, the custodians of the standard fall back on to the scope of the standard, arguing that it was dedicated only to the detection of IMP’s that cause significant loss in toughness or corrosion resistance, recognizing that the test methods will not necessarily detect loss of toughness or corrosion resistance attributable to other causes.
The standard has been modified over the years, but changes were slow and did not always meet oil and gas companies’ requirements. Hence, the oil industry users decided to write a more robust standard based on their requirements under the auspices of ISO. This became ISO 17781, first issued in 2017.
1. What is in the ISO Standard
The ISO standard addresses the quality of all grades of duplex stainless steel, lean duplex, standard duplex, super duplex, and hyper duplex, as well as welds of these alloys. It covers all major production routes, including wrought, cast, and HIP. The document describes in detail how test samples should be taken, particularly for thicker section products, so that the tests represent the thickest material. The standard requires three different tests.
The first is a microsection, and the standard says where and how it should be sectioned and how it should be polished and etched. The preferred etch is a two-stage, in 10% oxalic and 20% to 40% NaOH or KOH. This shows nitrides and other intermetallic particles. This double etch must be specified, as other etchants are listed options. The double electrolytic etch is good for 22% and 25% Cr duplex grades. However, Outokumpu16 argues that the oxalic acid etch encourages trans passive attack of the higher molybdenum grades. This exaggerates the apparent size of precipitates and causes “ditching” of grain boundaries, so they do not recommend it for etching of 2507. They recommend etching with V2A (50 ml hydrochloric acid, 5 ml nitric acid, and 50 ml water).
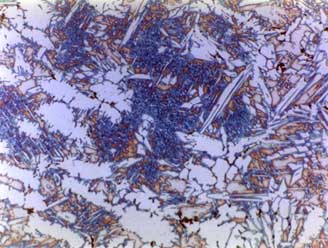
The microsection is examined first at low magnification, scanning the whole area of the sample. Any areas that are then thought to be possibly affected are then analyzed at high magnification to confirm that they are not etching artifacts but are indeed third phases. This is usually done by considering the location of the particles. IMP’s tend to precipitate at the austenite/ferrite grain boundaries and grow into and consume the ferrite phase. Locations like grain triple points, areas where the ferrite phase is thin, between two austenite grains, and interdendritic spacings in castings or welds are prime locations for precipitation. Figures 1, 2, and 3 below illustrate this.

Precipitate at a triple point.
Precipitate in a thin ferrite region constrained between two austenite grains.
Precipitate at the austenite/ferrite boundary growing into the ferrite phase.

Primary austenite
Reformed austenite
Intermetallic particles in dendrite arm spacings.
Intermetallic particles in dendrite arm spacings
Figure 1: Showing typical locations of precipitates in a duplex stainless steel wrought microstructure.
Figure 2: Showing typical location of precipitates in the root run of a duplex stainless-steel weld.

Intermetallic particles in dendrite arm spacings.
Figure 3: Showing sigma formed in between the dendrite arms in a casting.
The occasional third-phase particle is not necessarily considered a failure by the standard, provided the material passes the other two tests. We believe this is a mistake. It’s our view that wrought and cast products that are to be further processed by welding should be certified as free of IMP at x400 magnification by a competent metallographer. Items containing small amounts of sigma phase can quickly contain unacceptable levels of sigma when subject to welding4,11. When applying this test to weld procedure qualification, we would take a different view. We know that low levels of sigma phase in the weld are not necessarily deleterious either mechanically17 sea water, refinery and chemical process industry service18,19 or sour service applications20,21. So, we would be inclined to accept some visual evidence of sigma in the microstructure, provided the corrosion and toughness testing passed, and the microstructure of these samples was the same as that seen in the original microsection. We would not recommend any attempt to try and apply quantitative metallography to measuring small amounts of sigma in welds, as this is of little value22.
In circumstances where one of the tests fails and others pass, we recommend that the microstructure of the test samples be checked to ensure similitude between these and the original microstructure check sample. The microsection is also used to determine the phase balance, and the ferrite content must be in the range of 35% to 60% for parent metal and 30% to 70% for welds in the as-welded condition.
The second test is a Charpy impact toughness test, with the test temperature specified for different duplex grades. The standard is also particular about where the samples are taken and their orientation. This is because the toughness varies significantly depending on whether it is orientated in a longitudinal or transverse direction with respect to the grain structure of the steel. For parent standard duplex and super duplex, the test temperature is -46°C. The pass/fail criteria are specified for different product forms of the various grades, and some of these are split into two quality levels (QL1 and QL2), with higher energies required for more demanding applications.
The third test is an ASTM G48 type corrosion test for higher alloys and an ASTM 1084 type for lean duplex alloys. The test temperature is specified for each grade and the pass/fail criteria include maximum weight loss and no visible pitting at x20 magnification. This is because nitrides or ineffective acid pickling of the material can cause a high weight loss without showing any pitting. The standard also includes tests for as-welded welds, with specific requirements on sample location and preparation, as well as different temperatures and pass/fail criteria for each grade. Welds in the “As-welded” condition have a test temperature in ferric chloride solution or 35ºC for 25% Cr super duplex welds and 22ºC for 22% Cr duplex welds. The weight loss limit is less than 1.0 g/m2 for products in the solution-annealed condition and 4.0 g/m2 for welds in the as-welded condition.
2. The Importance of Standards
The tests in ISO 17781 were designed to prevent sub-standard material from being supplied to the oil and gas industry. However, there have been failures of duplex stainless steel due to poor quality in many other industries. The author has seen failures in the desalination, mineral processing, and chemical industries. The document is quite demanding in its testing requirements and pass/fail criteria, but this is based on the experiences of the oil and gas industry and what it takes to be sure that the alloy will not fail prematurely. Failures due to poor quality microstructures have cost tens of millions of dollars to rectify 1-4, so a little extra money spent upfront on quality is felt to be justified. Because of the experiences that drove this standard to be created, there is no reason for it not to be adopted by other industries when purchasing or fabricating duplex stainless steels.
ASTM A923 was a much-needed and very much welcomed standard at the time when it was written. But it has become clear with time that its scope is limited. ISO 17781 covers the testing of the metallurgical quality of a broader range of duplex stainless steels in much more detail than ASTM A923. We would recommend customers seeking a suitable purchase standard to specify to ensure metallurgical quality of duplex stainless steels, review both ASTM A923 and ISO 17781, and then decide which to use.
References:
1) E. Ryengen and C. Wintermark, “Lessons Learned from Heat Treatment of Components in 22Cr and 25Cr Duplex Stainless Steel (and other materials),” Duplex Stainless Steels. Beaune, France. 13th to 15th October 2010. Paper III.C.2. page 961 to 970. Zutphen, Netherlands: KCI Publishing.
2) R. Howard, J. Marlow and S. Patterson “Improving the Quality of Duplex Stainless-Steel Components”. Proc. Conf. Duplex Stainless Steel. Beaune, France. 13th to 15th October 2010. Paper III.C.1. page 953 to 960. Zutphen, Netherlands: KCI Publishing.
3) EEMUA Publication 218, “Quality Requirements for the Manufacture and Supply of Duplex Stainless Steels” (London, United Kingdom: Engineering Equipment and Materials Users Association, 2010).
4) F. Egan “Service Experience of Super Duplex Steel in Sea Water”, Stainless Steel World, December 1997, p61-65.
5) ASTM A923, “Standard Test Methods for Determining Deleterious Intermetallic Phase in Duplex Austenitic/Ferritic Stainless Steels” (West Conshohocken, PA, USA: ASTM International).
6) ISO 17781, “Petroleum, Petrochemical and Natural Gas Industries—Test Methods for Quality Control of Microstructure of Ferritic/Austenitic (Duplex) Stainless Steels,” June 2017, (Geneva, Switzerland: International Standards Organization).
7) R M Davidson. and J Redmond, “Development of Qualification Tests for Duplex Stainless Steel Mill Products”. Corrosion ‘91. Paper 302, Cincinnati, OH, USA, (NACE International, Houston, TX, USA, 1991)
8) V. Hariharan and C. Lundin et al “Guidance Document for the Evaluation of Cast Duplex Stainless Steels”. Submitted to US Dept. of Energy. Sept 2005. University of Knoxville. Tennessee.
9) M Aursand, “Metallographic Etching of Duplex Stainless Steels”, Statoil Technical Note, MAT 2010080, July 2010.
10) G Byrne et al “Meaningful Testing for the Quality of Super Duplex Stainless Steels” Paper 10876, Proc. Conf. Corrosion 2018, Phoenix, AZ, USA. May 15th to 19th 2018, (NACE International Houston, TX, USA).
11) R. Gunn “Intermetallic Formation in Super Duplex Stainless Steel Heat Affected Zones”. Proc. Conf. Duplex Stainless Steels ’97. Maastricht, the Netherlands. Oct 1997.
12) NORSOK M-630, “Material Data Sheets for Piping,” Edition 5 (Oslo, Norway: Standards Norway, 2010).
13) R. Colwel and J Grocki “The Validity of using ASTM A 923 Test Method C Corrosion Test for weld procedure Qualification of 25% Chrome Duplex Stainless Steels. Proc. Conf NACE. Corrosion 2017.Paper No.8838. New Orleans USA.
14) P Woollin, “Ferric Chloride Testing for Weld Procedure Qualification of Duplex Stainless-Steel Weldments” Proc. Conf. UK Corrosion and Eurocorr ’94. Bournemouth, UK, 31st October to 3rd November 1994. (I Corr, Northampton, UK).
15) T Mathiesen. and A Andersen, “Challenges in Prequalification Corrosion Testing of CRA’s Based on G48A” Corrosion 2014. Paper 4272 San Antonio, TX, USA (NACE International, Houston, TX, USA) 2014
16) R Pattersson & JY Jonsson “Duplex Metallography for ISO 17781. Outokumpu, Private Communication to ISO 17781 Development group.
17) C Wiesner et al. “the Structural Significance of HAZ Sigma in 25% Cr Super Duplex Stainless Steel Pipe Work. Proc. Conf. OMEA. Vo. III- A. Materials Engineering. ASME 1993.
18) AJ Lenard et al. “Effect of Intermetallic Phases on Corrosion Resistance of Super Duplex and Super Austenitic Stainless-Steel Weldments” Proc. Conf. Stainless Steel World. The Netherlands. 2001
19) R Francis et al. “A Model for the Corrosion of Depleted Zones Around Sigma Precipitates Formed During Welding of Super Duplex Stainless Steels. Proc. Conf. Stainless Steel World. Paper No. 99006. 1999.
20) JO Saithala “Effect of Sigma Phase on the Environmental Assisted Cracking of Super Duplex Stainless Steel in Oil Field Environments” Proc. Conf. NACE. Paper 1272. Salt Lake City. USA. 2012
21) G. Rorvik et al. “Influence of intermetallic precipitates on the mechanical properties and environmental cracking resistance of duplex stainless-steel fittings – A case history (Part 1). Proc. Conf. Duplex Stainless Steels. Beaune, France. 13th to 15th October 2010. Paper II.B.8. Zutphen, Netherlands: KCI Publishing.
22) T G Gooch and P Woollin, “Metallurgical Examination During Weld Procedure Qualification of Duplex Stainless steels”, Stainless Steel World Conference, 1999, page 792, (Zutphen, Netherlands: KCI Publishing, 1999).

RA 253 MA Delivers High-Temp Performance in Industry Feature
Rolled Alloys has been featured in Heat Treat Today with his article, “A Microalloyed Solution for High-Temp Applications.”

Welding Consumable Designations and Selection Criteria
Understanding welding consumable designations is essential for achieving strong, reliable welds. This guide breaks down AWS standards, electrode naming conventions, and key factors like polarity,

2025 Trade Shows
Come talk to a Rolled Alloys representative in person about your project. You can find us at these trade shows.
Never Miss an Update - Subscribe Today!
Get application insights, material guides, and technical answers straight from the leaders in high-performance alloys.
Share:
QUOTE, BUY, TRACK
We make it easy to get instant pricing and purchase your metal at the click of a button. Track your order progress, get notified when it ships, and follow your shipment online until it’s delivered. It’s that easy!
Latest Articles
RA 253 MA Delivers High-Temp Performance in Industry Feature
Rolled Alloys has been featured in Heat Treat Today with his article, “A Microalloyed Solution for High-Temp Applications.”
Welding Consumable Designations and Selection Criteria
Understanding welding consumable designations is essential for achieving strong, reliable welds. This guide breaks down AWS standards, electrode naming conventions, and key factors like polarity, base materials, and welding position to help you choose the right filler metal every time.
2025 Trade Shows
Come talk to a Rolled Alloys representative in person about your project. You can find us at these trade shows.
Instant Pricing on Nickel, Stainless Steel, Duplex, and Titanium
Get instant pricing and availability for nickel, stainless steel, duplex, and titanium—all in one place.
New and Expanded Stock for 2025
New Titanium, Stainless, Nickel and Cobalt in Stock Now – CP Ti Grade 2, 635, 718 and More!
